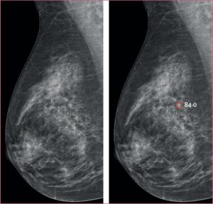
AI. Un studiu recent realizat de cercetătorii Universității Lund din Suedia și publicat în revista Lancet Digital Health arată că utilizarea inteligenței artificiale în screening-ul mamografic a dus la identificarea a cu 29% mai multe cazuri de cancer la sân comparativ cu metodele clasice de analiză.
Cercetarea a inclus aproape 106.000 de femei din Suedia, împărțite în două grupuri: unul a fost evaluat prin mamografie standard interpretată de radiologi, iar celălalt a beneficiat de analiza asistată de AI. Rezultatele au fost impresionante – inteligența artificială a identificat 338 de cazuri de cancer, comparativ cu doar 262 în grupul evaluat tradițional. Mai mult, AI a detectat cu 24% mai multe cancere invazive aflate în faze incipiente, ceea ce poate îmbunătăți semnificativ șansele de tratament și supraviețuire.
Un alt avantaj major al tehnologiei AI este reducerea volumului de muncă al radiologilor, cu 44%, permițându-le acestora să se concentreze mai bine pe cazurile complexe.
Ultima fază a studiului se va concentra pe cazurile de cancer care scapă screening-ului tradițional, urmând ca rezultatele finale să fie publicate anul viitor.















